The recommended disinfectant for blood and body fluid contamination is:
The body compensates for alkalosis or acidosis of the blood PRIMARILY to regain a normal pH, between 7.35 - 7.45.
When the body compensates for a respiratory or metabolic disorder, the MAIN goal is to achieve:
Since cimetidine inhibits CYP2D6, less amphetamine will probably need to be given since it will not be able to be metabolized as readily.
Most drug interactions are like this: one drug inhibits or competes with the same CYP450 as another drug. The end result is that higher concentrations of one, or both, drugs are present, leading to potential toxicity.
A patient is taking cimetidine for a stomach ulcer. This drug inhibits CYP2D6. The patient is now prescribed amphetamine for narcolepsy. Amphetamine is metabolized by CYP2D6. What would you predict?
Modified Thayer Martin agar at 35ºC with CO2 is the correct answer. This is a typical presentation of systemic gonorrhea and Neisseria gonorrhea grows best on MTM medium at 35ºC. under CO2. Systemic gonorrhea occurs in 1% of cases and results in purulent arthritis and rarely septicemia.
An 18-year-old woman woke up in the morning to find that her left knee was hot, swollen, and very painful. She could not walk to work and a friend offered her a ride to the clinic. She had never had a swollen joint before. Physical exam revealed a tender knee joint which yielded purulent synovial fluid on aspiration. Gram-negative intracellular diplococci were seen on Gram stain. She also had a cervical discharge that was cultured. The cause of her infection would grow best on:
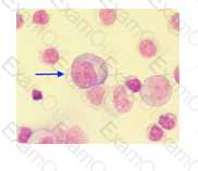
The cell depicted with the arrow in this image is an atypical (reactive) lymphocyte. These cells are common found in certain viral infections, especially infectious mononucleosis. Notice the larger size and abundant cytoplasm present in this lymphocyte. There is also apparent vacuoliation which is a key feature of atypical lymphocytes. The chromatin pattern of this cell as well as the overall shape, color and size rules out the monocyte, macrophage, and mesothelial cell choices.

A patient with an infectious mononucleosis infection presents in the emergency room. Physicians order a spinal tap which is immediately sent to the laboratory for review. Please identify the cell in the image below from this patient's cerebrospinal fluid sample.
India ink can aid in the visualization of the polysacchride capsules of yeast such as Cryptococcus neoformans.
Micro
India Ink is used to:
Cerebrospinal fluid has three main functions:
Protect brain and spinal cord from trauma.
Supply nutrients to nervous system tissue.
Remove waste products from cerebral metabolism.
Which of the following are functions of CSF? Please select all correct answers
Fibers can be mistaken for casts on occasion, especially hyaline casts. Fibers, however, are usually thinner and appear less uniform in structure than casts do.
Urinalysis & Other Body Fluids
Which of the following artifacts may be mistaken for casts?
Blood plasma will contain coagulation proteins, but not in a clotted tube where serum is present.
Blood serum contains each of the following substances except:
This scenario's answer can be calculated by first deciding what the total quality control labor costs are as well as what the total consumable costs are. In this case, if quality control is run 3 times per day, a total of 1095 quality control runs are performed each year. The direct labor cost of $2.63 multiplied by 1095 quality control runs equals $2879.85 per year in quality control direct labor. The hospital pays $354.00 per month on quality control consumables, which equals $4248.00 per year. The total quality control costs in a year are equal to $2879.85 + $4248.00 = $7127.85. If 76,000 new chemistry tests panels are peformed each year, the total quality control cost per new chemistry test panel will be $0.09.
General Hospital is considering the addition of a new chemistry panel containing 12 tests. The laboratory is asked to calculate the total cost of quality control per new chemistry test panel. Quality control must be performed 3 times per day (every 8 hours). The labor cost per quality control test for this panel is $2.63. A month's worth of quality control reagent costs $354.00. What is the total quality control cost per new chemistry test panel if 76,000 of these new panels are performed each year?
Set of comprehensive safety guidelines designed to protect patients and health care workers
Yellow/gray or orange stopper tubes contain thrombin.
Question options:
The lecithin-sphingomyelin ratio is a test for assessing fetal lung maturity that is useful in determining risk of an infant born with respiratory distress syndrome.
The Lecithin/Sphingomyelin ratio determination of amniotic fluid is useful in assessing the probability of:
An international, nonprofit organization that establishes standards of best current practice for clinical laboratories is
Which of these advancements in the clinical laboratory has led to concerns about patient privacy