Which echocardiography assessment requires mitral inflow pulsed wave, pulmonary venous pulsed wave, and tissue Doppler of the mitral annulus?
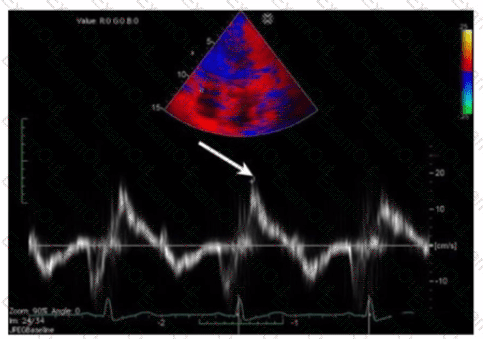
Which measurement is indicated by the arrow on this image?

Which next step is appropriate after obtaining the Doppler signal in this image?

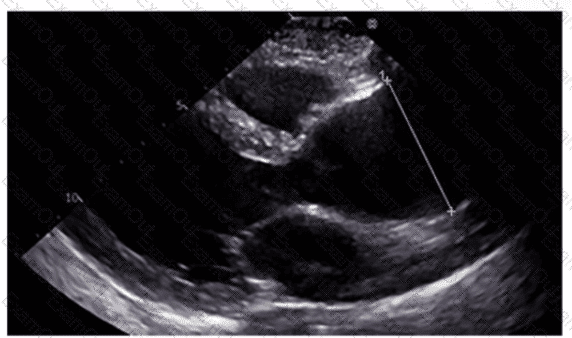
Which method is appropriate for measuring the left atrial diameter in parasternal long axis?
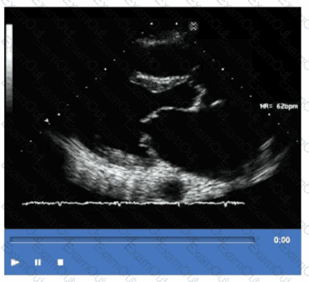
Which of the following is the most likely cause for the findings demonstrated in this video?

What is the significance of a mitral B-bump seen on M-mode?
How are pseudoaneurysms best distinguished from true aneurysms?
What is the normal dP/dt value of left ventricular systolic function?
Which region of the aorta is being measured to assess the critical finding in this image?

Which of the following does the pulmonary capillary wedge pressure estimate?