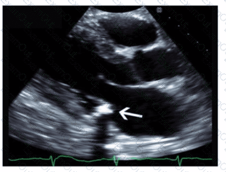
Which echogenic structure is indicated by the arrow on this image?

Which type of rendering is primarily utilized with three-dimensional echocardiography?
Which kind of cardiac valve is a heterograft?
How must the sonographer angle the transducer from the apical four-chamber view in order to visualize the aortic valve in the apical five-chamber view?
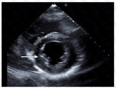
Which wall is indicated by the arrow on this image?

Which of the following can be calculated from the peak tricuspid regurgitant velocity?
Which murmur will occur in a patient with a ruptured papillary muscle?
What is indicated by the arrow on this video clip?
What does the Qp represent in an atrial septal defect shunt ratio measurement (Qp/Qs)?
Which diagnosis is most likely confirmed by echocardiography in a 65-year-old female presenting with new onset chest pain associated with ST segment elevation on the electrocardiogram and angiographically normal coronary artenes?